锦旗表心意——精准修复,重拾口福
在口腔修复领域,复杂病例往往是对医生医术与耐心的严峻考验。近日,一位饱受全口义齿折磨多年的阿姨,在我院张潇文副主任的精湛的医术下,成功解决这个难题。文阿姨为了表示感谢,特意定做了一面锦旗送到了民康院区。

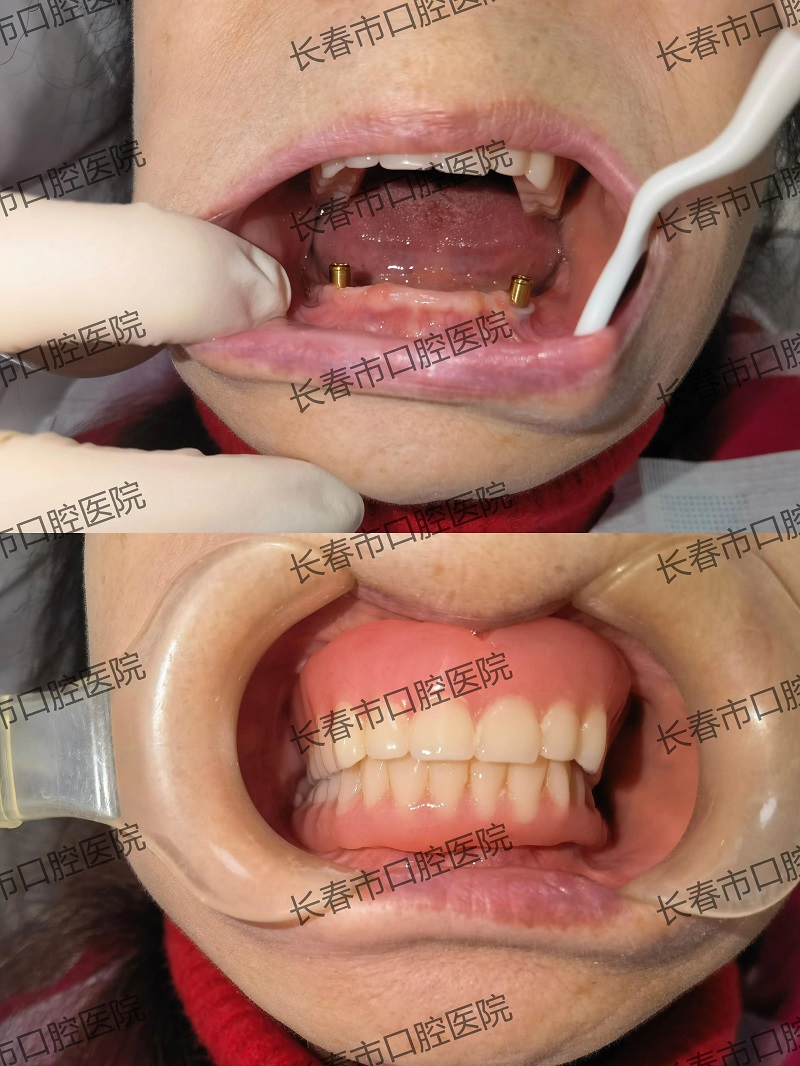
据文阿姨介绍,她的下半口牙槽脊极度低平,致使义齿固位困难,进食受阻,口腔黏膜也在一次次的摩擦中破损不堪。她曾在多家诊所寻求帮助,却始终未能如愿。最后文阿姨来到长春市口腔医院,张医生为文阿姨的口腔状况进行了仔细评估,并为其精心制定了种植覆盖义齿修复方案。历经近一年的耐心治疗与细致雕琢,终于达到了理想修复效果。

如今,她佩戴义齿后美观大方,重拾美食乐趣,啃食苞米也不在话下。文阿姨对张医生的高超医术赞不绝口,感激之余,特意送来一面锦旗,字里行间满是对张医生的敬重与信赖。
这面锦旗,不仅是患者对张潇文医生的衷心感谢,更是对我院口腔种植修复技术的高度认可。我院始终以患者为中心,致力于为每一位患者提供个性化、全方位的口腔医疗服务。
 
						 
						 
						 
						 
						 
						 
						 
						 
						 
						 
						 
						 
						 
						